支原体肺炎传染吗(肺炎支原体肺炎会传染吗?如何治疗?)
支原体肺炎传染吗(肺炎支原体肺炎会传染吗?如何治疗?)
冬春季是小儿肺炎支原体肺炎的高发季节,肺炎支原体肺炎是肺炎支原体引起的一种呼吸道感染性疾病,肺炎支原体既不是细菌也不是病毒,这种病原微生物主要通过呼吸道飞沫,比如打喷嚏、咳嗽时的飞沫进行传播,因为没有细胞壁,所以用青霉素、头孢菌素等抗生素治疗无效。

临床症状和体征
肺炎支原体肺炎和细菌性肺炎临床表现是有区别的,全身乏力、胸痛这些症状不明显,最具特征性的表现是顽固剧烈的阵发性干咳,咳嗽非常严重,咳得你怀疑人生,大部分患儿有发热,少部分患儿还可以出现咳白痰,气喘、腹泻、呕吐等症状。严重的患儿可以并发心肌炎,肝脏转氨酶增高和中毒性脑病,但并发这样严重并发症的患儿相对来说是少见的,所以家长们也别太过担心。肺部听诊大多数患儿肺部听诊是正常的,少部分患儿肺部可以听到哮鸣音或者湿罗音。

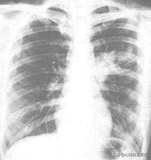
肺部影像学表现
肺部胸片检查肺炎支原体肺炎可表现为小斑片状影,大片状密度增高影以及肺部絮状阴影等。
实验室检查
肺炎支原体抗体(MP-IgM)阳性,这里强调一下MP-IgM抗体阳性有意义,有的医院做的是MP-IgG抗体,MP-IgG抗体只能说明曾经感染过肺炎支原体,不一定是现在感染,而只有MP-IgM抗体阳性才能说明是在急性感染期,肝功能受损的患儿化验肝功能可出现谷丙转氨酶增高,心肌受损的患儿可出现心电图ST-T改变。中毒性脑病的患儿可以出现脑脊液压力增高或者蛋白轻度增高。

治疗
肺炎支原体肺炎比较有效的药物是大环内酯类抗生素,临床一般使用阿奇霉素输液进行治疗,静脉输液一般连用3-5天,然后停用4天,后改为口服阿奇霉素,总疗程根据病情轻重一般需要2-4周,咳嗽的患儿可以口服小儿止咳糖浆,痰多可以口服氨溴索糖浆化痰,也可以同时用布地奈德雾化液做雾化治疗,减轻咳嗽、气喘症状
-
- 横向课题和纵向课题有什么不一样?
-
2026-03-07 12:40:27
-
- 第一次跟女生表白说什么话更容易成功?
-
2026-03-07 08:21:33
-
- 潘晓婷男朋友(潘晓婷交往小鲜肉男友)
-
2026-03-07 08:19:19
-
- 恋爱中从来不会掏钱的女朋友,要不要分手?
-
2026-03-07 08:17:04
-
- 花心男最在乎(纯洁、美丽、凶猛、花心)的女人
-
2026-03-07 08:14:50
-
- 成人用品品牌前十名 第一名:杜蕾斯 杰士邦上榜
-
2026-03-07 08:12:35
-
- 中国十大家用加湿器品牌排行前十 康佳榜上有名 小熊荣登榜首
-
2026-03-07 08:10:21
-
- 治老公出轨最好的5个办法:让他害怕不再出轨
-
2026-03-07 08:08:07
-
- 怎样找女人出轨的证据(查女人出轨的方法)
-
2026-03-07 08:05:52
-
- 怎么和刚认识的女孩子微信聊天 怎样跟女孩子聊天
-
2026-03-07 08:03:38
-
- 女生喜欢学音乐的男生吗? 和学音乐的男生恋爱是什么感觉
-
2026-03-07 08:01:24
-
- 每年秋后必做的落水包,比牛肉面还好吃
-
2026-03-07 07:59:09
-
- 和男生约会吃东西应该主动买单吗
-
2026-03-07 07:56:55
-
- 南昌这几条美食街,你都吃过吗?
-
2026-03-07 07:54:41
-
- 和女生聊天总是问一句答一句,该怎么办?(跟女生聊天问一句答一句怎么办)
-
2026-03-07 07:52:26
-
- python什么意思 python能做什么?
-
2026-03-07 07:50:12
-
- 一方重婚离婚财产分割是如何的
-
2026-03-07 07:47:57
-
- 农村一种有毒植物,茎杆长得像魔芋,人称野魔芋,价值珍贵请重视
-
2026-03-07 07:45:43
-
- 男女情感话题大全 谈恋爱必聊
-
2026-03-07 07:43:28
-
- 刚开始怎么和女生聊天才不会冷场?
-
2026-03-07 07:41:14



推荐三本超级好看的穿越小说、破敌国,平内乱,领骑军,战四方
李贺,可怜日暮嫣香落,嫁与春风不用媒